Hola?

Atención Veterinaria

Royal Hound, Clínica Veterinaria brinda un servicio personalizado de atención veterinaria para perros y gatos, con profesionales capacitados, con equipos médicos tecnológicos y modernas instalaciones, orientados a cuidar de la salud integral del miembro especial de la familia de nuestros clientes.

Peluquería Canina

Las mascotas son seres vivos que necesitan estar cuidadas, limpias y bien cuidadas, es por ello que nuestro servicio de peluquería que brinda la mejor atención y servicios para ellas y ellos.

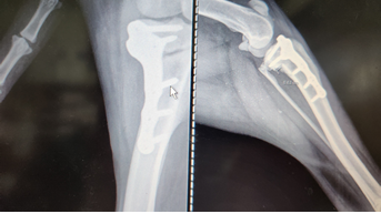
Imagenología Rayos X

Contamos con modernos equipos que forman uno de los principales medios para realizar un diagnóstico seguro para detectar patologías.

Hospitalización

Para nosotros el monitoreo constante es muy importante y por ello es un factor determinante en el proceso de recuperación de nuestros pacientes, por este motivo ponemos a su disposición el servicio de hospitalización por el tiempo que sea necesario para garantizar la óptima salud de su mascota.

Ecografía 2D y 3D

Mantener el control es importante. Por ello ponemos a tu servicio un método de diagnóstico, apropiado para detectar patologías abdominales, control de gestación y función cardíaca.

Cirugías Veterinaria

Contamos con el servicio de cirugías como tratamiento necesario para tratar patologías. Por eso nuestros médicos están altamente preparados y nuestra área de quirófano cuenta con los equipos, tecnología y protocolos indispensables.

Limpieza Dental

Mantener una adecuada higiene bucal es muy importante. Por ello brindamos el servicio de limpieza dental para que tu mascota este y lusca saludable.

Hospedaje

¿Debes viajar y no tienes con quien dejar a tu amigo? Servicio de HOSPEDAJE CANINO y FELINO, con el AMOR y CUIDADO que tu mascota se merece.

Reproducción:Cesáreas y Asistencia en Partos

El traer una nueva vida es un milagro, pero muchas veces esto tiene complicaciones. Por ello te brindamos el servicio de control de la gestación, cesáreas y asistencia en momento del parto.


Cuidamos su salud.

Tu mascota, nuestra prioridad.

Amor y ciencia para su bienestar.

Veterinaria con vocación y patas.